本文へスキップ

さぬき市の歯科医院・油谷歯科医院です。

電話でのご予約・お問い合わせはTEL.0879-42-2213

〒769-2401 香川県さぬき市津田町津田1450番地

インプラントimplant

インプラントとは

方針イメージ失った歯の場所に第3の歯と呼ばれるチタン製人工歯(インプラント)を埋め込み、その上に人工歯をとりつける治療方法です。新しい歯が生えてきたような見た目と噛み心地です。義歯よりも噛み心地が本物の歯に近くブリッジのように周りの歯を削る必要がありません。
当医院では、約30年の実績があります。安心してご相談ください。


インプラントの長所

歯のないところに歯ができます。
自分の歯のようになんでも噛むことができます。
残っている歯を守ります。
入れ歯のように取り外しの必要がありません
入れ歯にありがちな違和感がありません。
通常のメンテナンスで対応ではます。

インプラントの短所

外科手術が必要です
保険が適用されないため自費扱いとなります。
重度の糖尿病など疾患がある場合、治療ができない場合もあります。


インプラント治療の流れ

  1. 診断と治療計画

    レントゲンなどによって十分な診断と計画をします
  2. インプラント手術

    チタン製のインプラントを埋め込みます。
  3. 治療期間

    2か月程度、インプラントと骨がしっかりつくまで待ちます
  4. 人工歯の装着

    人工歯を装着すれば治療完了
  5. メンテナンス

    治療が完了した後には、衛生士による定期健診をお勧めします。プロによるメンテナンスで歯をしっかりとケアしていきます。しっかりとケアする ことによって長く お使いいただくことができます。

インプラント治療のバリエーション

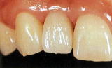
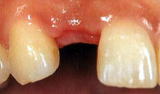
歯を1本だけ失った場合
歯を1本失った場合 健康な両隣の歯を削ることはありません
矢印
インプラント施術後 1本のインプラントを埋め込むことによってあたかも天然歯のように自然に感じます
歯を数本失った場合
歯を数本失った場合 従来なら取り外し式部分入れ歯で対応していました
矢印
インプラント施術後 数本のインプラントを歯のないところに埋め込み、これを土台としてヘッド部分に固定式人工歯をいれます
 歯がまったくない場合
 歯がまったくない場合   歯が1本もない場合でもインプラントを利用して、既存の入れ歯をしっかりと固定することができます
 矢印    
 バーを使用した場合   @バーを使用した場合
インプラントのヘッド部をバー状の維持装置で連結しその上に取り外し式入れ歯を固定します
 球状アンカーを使用した場合   A球状アンカーを使用した場合
インプラントのヘッド部に球状アンカーを取り付けます
 入れ歯にインプラントを固定するためヘッド取り付け   入れ歯にインプラントと固定するためのヘッドを取り付けます
 矢印    
 インプラント施術後    



インプラントQ&A

義歯との違いはなんですか

機能的にも精神的にも天然歯と同じような充実感が得られます。また周囲の歯にも負担がかからないので、残っている歯の寿命を延ばします。

手術は痛いですか

インプラント手術は局所麻酔を行いますので、ほとんど痛くありません。但し骨のない人は骨を造る手術や、歯肉の整形が必要な場合もあります。その場合はやや腫れがでる場合もありますが、通常はすぐ治ります。

インプラントはどのくらいもちますか

食通常の食事をし、衛生管理ができていれば、半永久的にもちます。インプラントは虫歯にはなりませんが、天然歯と同様に歯周病にはなります。より長くもたせるためには、毎日のお手入れと定期健診が大切です。

治療期間中、歯はないのですか

仮の歯をつくります。見た目にも食事をするにも問題はありません。

どのくらいの期間で完成しますか

その人の状態にもよりますが、通常8週間から12週間かかります。

成功率はどのくらいですか

手術の成功率は98%です。適切なメンテナンスをすることでインプラントの機能期間は異なってきます。




診療案内

虫歯治療 予防歯科 歯周病治療 ホワイトニング
インプラント 義歯、入れ歯 口腔漢方
   

yutani dental office油谷歯科医院

〒769-2401
香川県さぬき市津田町津田1450番地
TEL 0879-42-2213
FAX 0879-42-4488